Echografie van dracht, buik en hart
Echografie
Echografie is een beeldvormend onderzoek waarbij we met gebruik van geluidsgolven organen en weefsels in beeld kunnen brengen.
Met het echoapparaat kunnen we een kijkje nemen binnen in een dier. Het beeld bij een echo wordt gemaakt door middel van geluidsgolven, deze golven verschillen van snelheid bij de verschillende weefsels waar we naar kijken. Het apparaat zet deze golven om in een elektrisch signaal en maakt daar een (bewegend) beeld van. Een echo is geheel pijnloos, veel dieren laten het onderzoek goed toe en een roesje is meestal niet nodig.
Bij een echo onderzoek mag u bij uw dier blijven. De dieren voelen zich dan beter op hun gemak. Omdat de echo golven niet door haren heen komen, zullen we uw dier moeten scheren. We gebruiken een gel om de geluidsgolven te geleiden.
Voorbereiding:
Blaasecho: gedurende 3 uur voor het onderzoek niet plassen, nuchter is niet nodig.
Buikecho: 6 uren voor het onderzoek nuchter, gedurende 3 uur voor het onderzoek liever niet plassen.
Drachtecho: goed uitlaten is prettig, nuchter is niet nodig.
Hartecho: geen voorbereiding nodig.
Echografie dracht
Het is mogelijk om vanaf dag 21 na dekking te kijken of uw teef of poes drachtig is. Het is ons advies om te wachten met de drachtecho tot minimaal 25 dagen dracht. Dan zijn de kloppende hartjes goed zichtbaar, en is het goed te zien of er normale groei en ontwikkeling van de vruchtjes is.
Echografie buik
Met een echo onderzoek kunnen we goed de organen bekijken. We bekijken en beoordelen het orgaan naar grootte, vorm en inhoud. Je kunt alle organen goed onderzoeken. Voor het beoordelen van de maag is het belangrijk dat het dier nuchter komt. Om de wand van de urineblaas goed te kunnen beoordelen moet de blaas gevuld zijn.
De organen die we routinematig beoordelen zijn:
Blaas - Prostaat - Baarmoeder/eierstokken - Lymfeklieren - Darmen - Nieren - Bijnieren - Milt - Alvleesklier - Maag - Lever
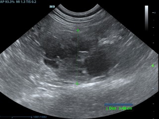
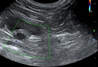
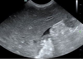
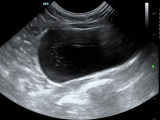
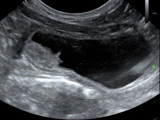
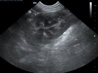
De buik in beeld
Hieronder zie je een aantal foto's van de buik met achtereenvolgens; blaasontsteking, blaastumor, vroege dracht hond 19 dagen, vergrote eierstok, lever, nier.
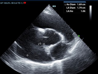
Echografie hart
Toen onze oude echoapparaat vervangen moest worden hebben we ervoor gekozen dat bij ons nieuwe echo apparaat het ook mogelijk moest zijn om echo onderzoeken van het hart te maken. Er moet dan o.a. doppler opzitten en je moet een ECG kunnen aansluiten, ook zijn de eisen voor de kwaliteit veel hoger. Onze nieuwe Mindray M9 voldoet aan deze eisen en heeft een zeer gevoelige en nauwkeurige echo detectie.
De redenen om een echo van het hart te maken zijn divers. Vaak worden er hartecho’s gemaakt om te screenen op erfelijke hartafwijkingen. Bijvoorbeeld wanneer bij een bepaald ras een hartspierziekte voorkomt en men een nestje wil fokken, kan met de echo bekeken worden of het dier op dat moment vrij is. Deze onderzoeken worden niet bij deze praktijk uitgevoerd, maar worden uitgevoerd door dierenarts-specialisten.
De andere indicaties voor een hartecho zijn:
een hartruis - een aritmie - een gallop ritme - verminderde hartgeluiden - hoesten / benauwdheid zonder duidelijke oorzaak
Dierenarts Rianne Compagner maakt de hartecho's, zij heeft diverse cursussen en nascholingen hiervoor gevolgd.
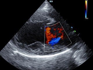
Het hart in beeld
Hieronder zie je een aantal foto's van het hart.
